A woman with short hair, smiling and looking directly at the camera, stands outdoors in front of a greenery backdrop.

Smile Gallery

The image shows a close-up of a person s mouth with yellowed teeth and a partial smile, set against a neutral background.

Before

A smiling person showing a set of white teeth with a visible dental implant and gumline.

After

The image shows a close-up of a person s teeth with yellow staining, indicating poor oral hygiene or potentially the need for dental care.

Before

An image of a person s teeth with an open mouth, showcasing a set of yellowed and stained front teeth.

After

The image shows a close-up of a person s mouth with teeth, displaying a smile.

Before

The image shows a close-up of a person s smiling face, with their teeth prominently visible, against a blurred background.

After

The image shows a close-up of an individual s teeth, with the focus on the lower front teeth which are prominently displayed.

Before

Image of a close-up view of a person s teeth with a focus on the lower front teeth, showcasing a bright smile and dental implants.

After

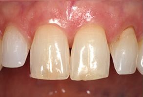
The image shows a close-up of a person s teeth with visible staining and yellowing, indicating the need for dental care or treatment.

Before

The image shows a close-up of a person s teeth with visible staining and discoloration.

After

The image shows a close-up of a person s teeth, with the focus on a dental implant that is integrated into the upper right side of the mouth, revealing a white crown.

Before

An image of a person s teeth with a focus on the lower front teeth, which are prominently displayed and appear to be in good condition.

After

The image shows a person s open mouth revealing crooked and discolored teeth with visible staining, particularly on the front teeth.

Before

The image shows a close-up of a person s teeth, with the focus on a large gap between two teeth.

After

Schedule a visit today!
Contact Us
Submit

Thank You!

We appreciate you taking the time to visit our site. We'll review your message and be in touch with you soon.

Continue
An aerial view of a golf course and community, showcasing a clear sky, green fairways, and residential areas.